Cavities, which are harmful to your dental hygiene, are also harmful to the overall health of your body. We must take care of every aspect of our hygiene to maintain our body’s health.
The build-up of plaque in our mouth, which develops due to food particles and bacteria stuck between our teeth, sets off the erosion of our teeth’ enamel. The bacteria present in the plaque release certain acids that cause this to take place. As the enamel is eroded, our teeth become more at risk of infections as the protection wears away. The nerves become more susceptible to damage and, therefore, tooth decay and cavities. This plaque build-up could cause a lack of proper brushing and flossing and the consumption of cavity-prone foods, such as sugary sweets and drinks.
Consistently brushing your teeth twice or thrice a day is imperative to keep them clean and healthy. It attacks and gets rid of the bacteria in the mouth, reducing the chances of the enamel’s erosion. Flossing allows you to remove any lingering food particles and bacteria by really getting in between your teeth, which are at greater risk of obtaining cavities, along with your molars and lower areas near your gums. You should also visit a family dentist Mississauga to treat your cavities promptly.
But how can you tell if you’re getting or already have a cavity? Continue reading for six symptoms that point to the signs that you have cavities.
Symptom #1: Toothaches

One major sign that you may have a cavity is a toothache. Toothaches can occur when eating and biting down on something, which triggers its sensitivity. It can also, however, occur unwarranted. The ache may appear randomly and create a lot of discomfort and pain. The pain occurs due to the lack of protection provided by the now worn-down enamel. The tooth becomes more susceptible and vulnerable to pain.
Symptom #2: Sensitivity

Have you felt your teeth being highly sensitive to your intake of hot or cold foods or drinks? If your answer is yes, this may be due to the formation of cavities. As previously mentioned, since the enamel is broken down due to the build-up of bacteria and plaque, the nerves of the teeth become more defenceless to pain and sensitivity. Hence, when we consume foods with extreme temperatures, our nerves cannot handle them. Sensitivity can also occur when we eat sugary and sweet foods.
Symptom #3: Staining

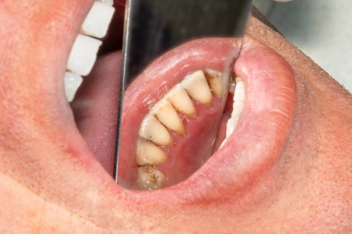
If you notice your teeth turning into yellow, light or dark brown, or even black colours, those are definite signs of tooth decay. As the bacteria eat away at your teeth, the decay progresses, and the tooth loses its life, causing it to lose its shiny, white colour. It eventually turns into a yellowish-brown colour and, if left untreated, decays even more into a blackish colour.
Symptom #4: Bad breath

While having bad breath could result from a lack of brushing or flossing, it could also be a sign of the formation of cavities. To test which one it is, check to see if the bad breath prevails despite brushing your teeth the recommended amount per day. If so, then your teeth are probably forming cavities.
Symptom #5: Dent or hole in the tooth

Seeing or feeling a dent, pit, or hole in your tooth is another sign of tooth decay. The dent or hole is formed by bacteria eating through the enamel and tooth. You may see or feel it visibly by searching with your tongue or finger. Regardless of how you find it, get it checked as soon as you do!
Symptom #6: Swelling gums

Certain cavities that form near the gums may affect the gum as well. The bacteria from the plaque attack it, causing it to swell and inflame. In some cases, bleeding of the gums could also commence.
So, what should you do if you notice these signs of cavity formation? Visit your dentist as soon as possible! The longer you wait to sort things out, the more time you give for the cavity to worsen, and the less likely it is to be able to get repaired. The sooner you seek help, however, the more likely you will save the tooth.
You will also probably want to do your best to avoid any future cavities from taking form. To accomplish this, remember to maintain a strict teeth-brushing schedule and floss at least once daily. Try cutting down on sugary foods and drinks, as these make your teeth prone to cavities. Make regular appointments to visit your dentist so they can check the status of your teeth and make sure everything looks good and healthy, and drink plenty of water throughout the day, as this will wash away unwanted food particles stuck in your teeth.
As long as you maintain these healthy habits, your teeth should hopefully remain cavity free!